Read-outs: Expression of myelin proteins (PLP/MBP), number of OPCs and oligodendrocytes, process complexity immunostaining, gene expression (qPCR)
(example published as Dierckx et al. 2022; 119: e2120393119)
Phloretin stimulates oligodendrocyte precursor cell maturation in vitro. Representative immunofluorescence images of OPCs treated with vehicle or phloretin and stained for O4 and MBP.
Scale bar, 25 μm.

Read-outs: Immunocytochemistry for MBP Imaging with confocal imaging on mouse OPCs.
(example published as Schepers et al. Brain Behav Immun 2022; 109: 1-22)
Confocal and 3D rendered images showing the formation of myelin-like extensions on microfibers by primary mouse OPCs.

Read-outs: cell tracking using Incucyte
Agarose is added to cell suspension and dropped at the center of wells in a 24-well tissue culture plate. The extent of cell migration is measured after 5 days using Incucyte imaging analysis.
(see publication Willems et al. FASEB J. 2024 Jan 31;38(2):e23413. doi: 10.1096/fj.202301557RR)

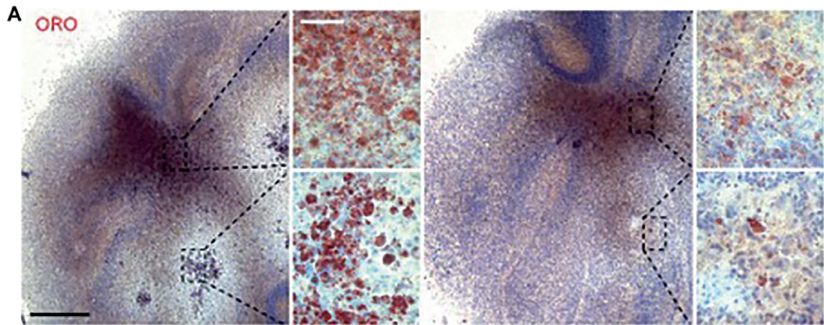
Read-outs: Microglial lipid load (ORO), myelination of axons (MBP/neurofilament immunostaining), inflammatory mediator expression (qPCR)
(example published as Bogie et al. J Exp Med. 2020; 217: e20191660)
(A and B) Representative images and quantification (lipid load defined as percent area covered in lipid droplets of the total brain slice area) of ORO (EC) staining of cerebellar brain slices treated with an SCD1 inhibitor or vehicle (n = 3 slices). Scale bars, 500 μm (overview); 50 μm (inset). (C) mRNA expression of inflammatory mediators in cerebellar brain slice cultures treated with an SCD1 inhibitor or vehicle (n = 4 slices). (D) Representative immunofluorescence images of brain slice cultures treated with vehicle or an SCD1 inhibitor and stained for NOS2/F4/80+ (n = 3 slices; scale bar, 50 μm) and MBP/neurofilament (n = 3 slices; scale bar, 50 μm; orthogonal and three-dimensional reconstruction).
Molecular read-outs: Myelin visualisation (Luxol Fast Bleu staining), myelin layer thickness (TEM G-ratio), gene expression (qPCR), protein expression of myelin protein (MBP)
(example published as Houben et al. PNAS 2020; 117:5028-5038)
Representative images of LFB staining in the corpus callosum (around bregma −1.82 mm).
Representative TEM images and quantification of the G ratio in the corpus callosum)
Functional read-outs: spatial memory (Y-maze and object location task), visual evoked potentials.
(see publication Willems et al. FASEB J. 2024 Jan 31;38(2):e23413. doi: 10.1096/fj.202301557RR)
Molecular read-outs: Myelin visualisation, gene expression (qPCR)
Representative images oLPC (L-α-Lysophosphatidylcholine) is injected locally into the brain of the mouse, inducing demyelinating lesions in a specific region. The resulting dysfunction and remyelination can be subsequently assessed and analysed. Depending on the injection site, de- and remyelination can be studied in different anatomical regions of the mouse CNS.
The red circle in the figure displays corpus callosum demyelination, 7 days post injection at a time point that the myelin debris has been cleared by the phagocytes and remyelination is not yet visible. The timing after the injection determines whether phagocytes are present in the lesion (demyelination) or whether OPCs are infiltrating to study remyelination.
Molecular read-outs: myelin layer thickness (TEM G-ratio), expression of myelin protein (MBP), gene expression (qPCR)
Functional read-out: neurological score, spatial memory
(see example published as Schepers et al. Brain Behav Immun 2022; 109: 1-22)
Would you like this information in a pdf? Click here.